インプラント

症例1

上顎:磁性アタッチメント義歯
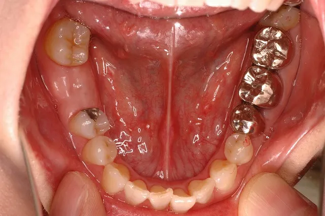
右下567:インプラント+セラミックメタルボンドクラウン
右下34、左下3456:セラミックメタルボンドクラウン

症例2

上顎:インプラントに磁性アタッチメントを装着し、総義歯装着
右上567、左上45インプラント+磁性アタッチメント
右下46、左下46:インプラント+セラミックメタルボンドブリッジ
右下321、左下13:セラミックメタルボンドクラウン

症例3

上顎右上2、左上13に抜歯と同時にインプラントし、セラミックメタルボンドブリッジ

症例4

右下456:セラミックメタルボンドブリッジ
左下4:セラミックメタルボンドクラウン
左下567:インプラント+セラミックメタルボンドクラウン

症例5

右下7:抜歯後、インプラント埋入+セラミックメタルボンドクラウン
右下6:セラミックメタルボンドクラウン
左下6:ハイブリッドセラミックインレー

症例6

右下6:インプラント埋入+セラミックメタルボンドクラウン