左上1:アタッチメント
上顎:金属床総義歯下顎:金属床総義歯+右下543・左下3磁性アタッチメント
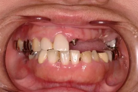
上顎:左右4にアタッチメントを装着し、部分床義歯装着(前歯6本は保険治療の硬質レジン前装冠装着)下顎:左右3にアタッチメントを装着し、部分床義歯装着
フォームでのお問い合わせ
ご質問等お気軽にご相談ください。