歯医者をお探しなら福岡市博多区の住吉歯科医院へ
JR笹原駅徒歩10分!麦野四丁目バス停徒歩2分です!!
お問い合わせ
サイトマップ
HOME
スタッフ紹介
病院設備案内
医療設備案内
診療項目
診療項目
審美歯科
インプラント
入れ歯(義歯)
矯正
予防
ホワイトニング
PMTC
メインテナンス
Q&A
Q&A
審美歯科
インプラント
再生療法
入れ歯(義歯)
矯正
予防
ホワイトニング
PMTC
メインテナンス
診療時間・アクセス
料金表
スタッフ募集
お問い合わせはお気軽に
HOME
症例紹介
インプラント
| インプラント |
| インプラント |
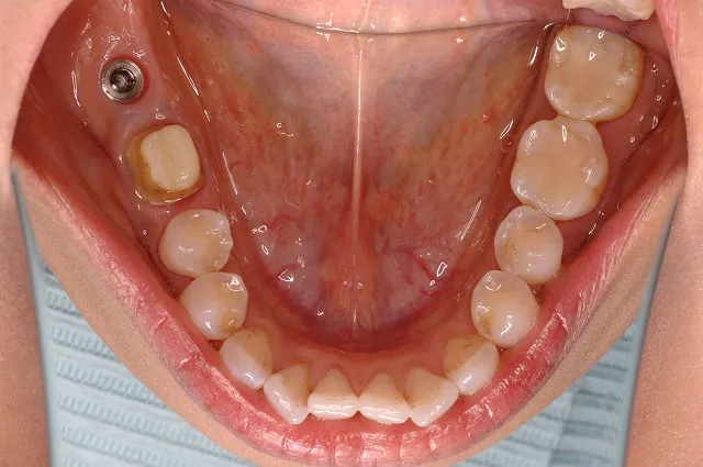
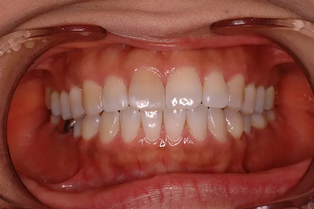
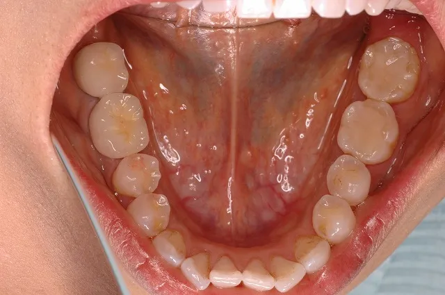
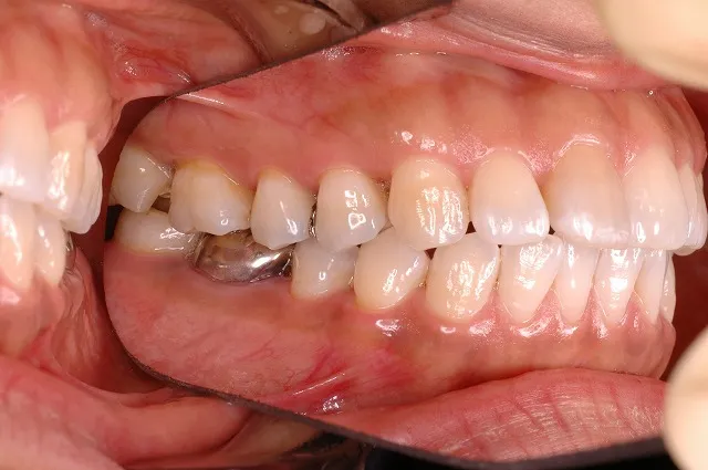
症例5
治療前
矢印
治療後
■治療前
■治療後
HOME
当院のこだわり
スタッフ紹介
病院設備案内
医療設備案内
診療項目
審美治療
インプラント
入れ歯(義歯)
矯正
予防
ホワイトニング
PMTC
メインテナンス
審美治療
インプラント
入れ歯(義歯)
矯正
ホワイトニング
PMTC
Q&A
審美治療
インプラント
再生療法
入れ歯(義歯)
矯正
予防
ホワイトニング
PMTC
メインテナンス
診療時間・アクセス
料金表
スタッフ募集
お問い合わせ
フォームでのお問い合わせ
ご質問等お気軽にご相談ください。